Диагностика
Наши врачи помогут достичь гармонии зубов и уверенности.

Доверьте здоровье Ваших зубов квалифицированным специалистам, не важно, сколько Вам лет и какая проблема.
Диагностика
Хорошая диагностика - первый шаг на пути к лечению.
Диагностика - самый важный этап при составлении плана лечения. Невозможно лечить пациента, не зная всех тонкостей его заболевания.
В своей практике мы применяет только самые современное оборудование для этого, начиная от компьютерного томографа с самым высоким разрешением на сегодняшний день и заканчивая очень высокотехнологичным оборудованием для определения прикуса - аппарат Miotronics K7 и аксиограф SDIMatrix.
Все эти инструменты позволяют досконально знать, что происходит с пациентом, как протекает заболевание и установить точный диагноз.
Услуги
- Определение вида смыкания зубных рядов с помощью оптической аксиографии на аппарате Pro-axis.
Определение вида смыкания зубных рядов с помощью оптической аксиографии на аппарате Pro-axis
от 60 минот 37 000 ₽ - Определение вида смыкания зубных рядов с помощью компьютерной кинезиографии на аппарате K7x evaluation system (Miotronics).
Определение вида смыкания зубных рядов с помощью компьютерной кинезиографии на аппарате K7x evaluation system (Miotronics)
от 60 минот 45 000 ₽ - Депрограмматор Койса, передний репозиционирующий аппарат.
Депрограмматор Койса, передний репозиционирующий аппарат.
от 60 минот 46 000 ₽ - Ортодонтическая коррекция съемным ортодонтическим аппаратом AquaSplint, Aqualizer.
Ортодонтическая коррекция съемным ортодонтическим аппаратом AquaSplint, Aqualizer.
от 60 минот 28 000 ₽ - Ортотик.
Ортотик
от 60 минот 46 000 ₽ - Ортотик the Natural Fit.
Ортотик the Natural Fit
от 60 минот 62 000 ₽ - Припасовка сплинта в полости рта.
Припасовка сплинта в полости рта
от 60 минот 16 000 ₽ - Коррекция сплинта.
Коррекция сплинта
от 60 минот 8 000 ₽ - Перебазировка сплинта.
Перебазировка сплинта
от 60 минот 16 000 ₽ - Электромиография поверхностная. Исследование жевательной мускулатуры на аппарате "Колибри" (НейроТех).
Электромиография поверхностная. Исследование жевательной мускулатуры на аппарате "Колибри" (НейроТех)
от 60 минот 20 000 ₽ - Электромиография поверхностная. Исследование жевательной мускулатуры на аппарате K7x evaluation system (Miotronics).
Электромиография поверхностная. Исследование жевательной мускулатуры на аппарате K7x evaluation system (Miotronics)
от 60 минот 25 000 ₽ - Определение вида смыкания зубов с помощью ультранизкочастотной электронейростимуляции на аппарате J5 dental TENS (Miotronics).
Определение вида смыкания зубов с помощью ультранизкочастотной электронейростимуляции на аппарате J5 dental TENS (Miotronics)
от 60 минот 20 000 ₽ - Определение вида смыкания зубов и анализ функции зубочелюстной системы в программном обеспечении (компьютерной программе) P-Art.
Определение вида смыкания зубов и анализ функции зубочелюстной системы в программном обеспечении (компьютерной программе) P-Art
от 60 минот 24 000 ₽ - Определение вида смыкания зубов и анализ функции зубочелюстной системы в программном обеспечении (компьютерной программе) K7x evaluation system (Miotronics).
Определение вида смыкания зубов и анализ функции зубочелюстной системы в программном обеспечении (компьютерной программе) K7x evaluation system (Miotronics)
от 60 минот 82 000 ₽ - Анализ окклюзии аппаратом T-scan.
Анализ окклюзии аппаратом T-scan.
от 60 минот 35 000 ₽ - Прием (осмотр, консультация) врача-стоматолога ортодонта повторный - комплексное обследование.
Прием (осмотр, консультация) врача-стоматолога ортодонта повторный - комплексное обследование
от 60 минот 5 000 ₽ - Прием (осмотр, консультация) врача-стоматолога ортодонта - расчет диагностических 3D-моделей челюстей.
Прием (осмотр, консультация) врача-стоматолога ортодонта - расчет диагностических 3D-моделей челюстей
от 60 минот 3 000 ₽ - Повторный прием в ретенционном периоде.
Повторный прием в ретенционном периоде
от 60 минот 1 500 ₽ - Расчет ТРГ, анализ Ортопантограммы.
Расчет ТРГ, анализ Ортопантограммы
от 60 минот 3 500 ₽ - Трехмерная компьютерная диагностика будущего результата ортодонтического лечения на элайнерах "StartSmile".
Трехмерная компьютерная диагностика будущего результата ортодонтического лечения на элайнерах "StartSmile".
от 60 минот 17 000 ₽ - Аксиография верхне-нижнего челюстного сустава / Диагностическая компьютерная сонография ВНЧС.
Аксиография верхне-нижнего челюстного сустава / Диагностическая компьютерная сонография ВНЧС
от 90 минот 35 000 ₽ - Клинико-психологическая адаптация / Скрининговая ЭЭГ аппаратом Brainbit.
Клинико-психологическая адаптация / Скрининговая ЭЭГ аппаратом Brainbit
от 90 минот 20 000 ₽ - Клинико-психологическая адаптация / Немедикаментозная релаксация.
Клинико-психологическая адаптация / Немедикаментозная релаксация
от 90 минот 12 000 ₽ - Кардиореспираторный мониторинг / Скрининговое исследование сна на дому портативным аппаратом. Анализ показателей.
Кардиореспираторный мониторинг / Скрининговое исследование сна на дому портативным аппаратом. Анализ показателей
от 90 минот 21 000 ₽ - Прием (осмотр, консультация) врача стоматолога - ортодонта (диагностическая модель).
Прием (осмотр, консультация) врача стоматолога - ортодонта (диагностическая модель)
от 90 минот 2 500 ₽ - 3D-сканер лица RAYFace.
3D-сканер лица RAYFace
от 30 минот 8 000 ₽
Этапы работы
1 этап - Сбор анамнеза пациента (фотопротокол)
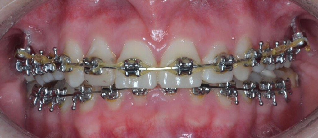
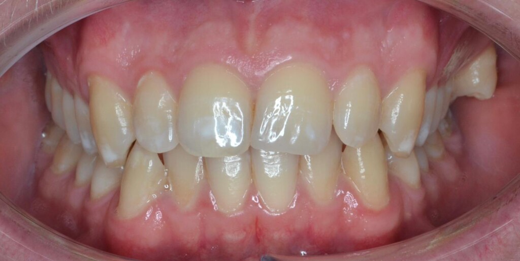
Врач-ортодонт тщательно осматривает полость рта пациента и оценивает состояние прикуса. Анализ (фотопротокол) внешности пациента может дать доктору большое количество информации: напряжение мышц головы и шеи, ассиметричность, величины пропорции трети лица, особенности внешности. Внутриротовые фото необходимы для анализа соотношения челюстей, положения зубов, наличия стираемости и абфракции (клиновидных дефектов). Стандартизация процесса позволяет оценивать промежуточные результаты в процессе лечения, а также зафиксировать исходную ситуацию в полости рта.
2 этап - Изготовление моделей
C помощью интраорального сканера изготавливаем 3D-модели челюстей. На артикуляторе максимально точно воспроизводим положение верхней челюсти и максимально приближено к реальности показываем движение нижней. Кроме того, используя данные кондилографии, мы можем настроить артикулятор для каждого пациента по индивидуальным параметрам, которые у каждого человека имеют свои значения. Таким образом, мы получаем полную картину зубочелюстной системы пациента.
3 этап - Подготовка к ортодонтическому лечению
После сбора необходимых данных и проведения исследований врач и пациент определяют, какой ортодонтический аппарат будет использоваться в процессе лечения. Когда план лечения согласован, врач отправляет пациенту цифровой макет зубов. Этот макет показывает, как будет проходить лечение поэтапно, какие изменения произойдут с челюстями и сколько времени займёт весь процесс.
Специалисты
Работы специалистов
Семейная скидка
Семейная скидка предоставляется при условии лечения пациента и членов его семьи.
Сумма лечения суммируется, и назначается процентная скидка:
- скидка 3% предоставляется семье, которая в общей сложности потратила на лечение более 250 тысяч рублей;
- скидка 7% предоставляется семье, которая в общей сложности потратила на лечение более 500 тысяч рублей.
*Скидка не распространяется на ортодонтическое лечение и имплантацию.


